Descubre la respuesta a si los dientes de leche tienen raíz y aprende con los especialistas de Clínica Dental Clemente (Murcia) por qué su cuidado es esencial para el futuro dental de tus hijos.
Lunes–Jueves 10:00–13:30 / 16:30–20:30
Viernes 09:00–15:00

Descubre la respuesta a si los dientes de leche tienen raíz y aprende con los especialistas de Clínica Dental Clemente (Murcia) por qué su cuidado es esencial para el futuro dental de tus hijos.
Contenido de la página
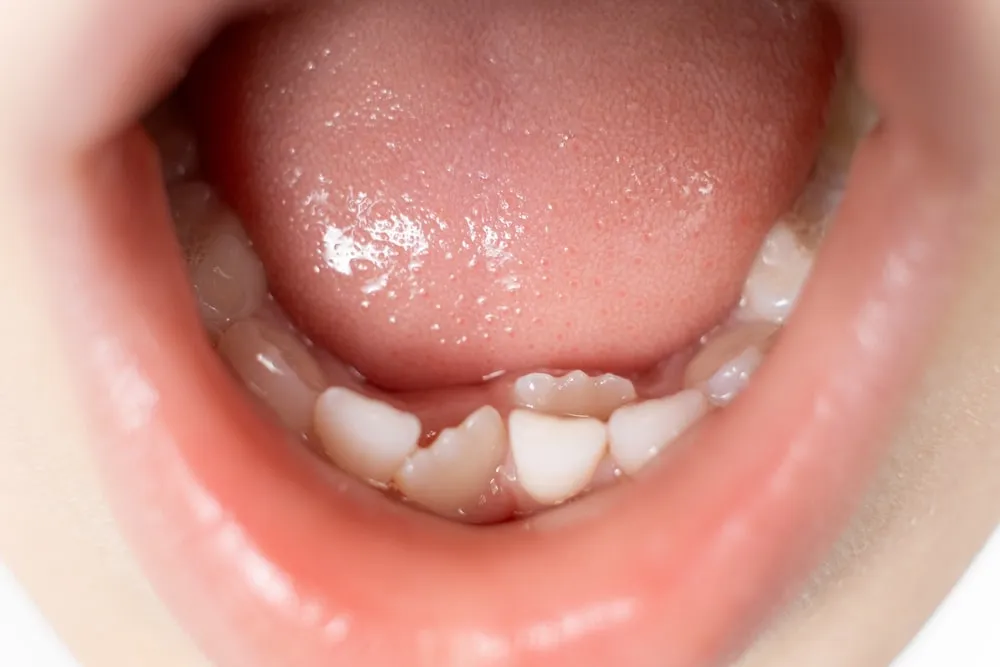
ToggleEn Clínica Dental Clemente, tu centro de confianza en Murcia, recibimos a diario muchas dudas de padres primerizos. Los dientes de leche, también conocidos como dientes temporales, desempeñan un papel crucial en el desarrollo dental de los niños. A menudo se subestima su importancia al pensar que «como se van a caer, no pasa nada», pero la realidad es que estos dientes sí tienen raíces y son esenciales para su función y estabilidad. Las raíces de los dientes de leche permiten un adecuado soporte y juegan un papel fundamental en la erupción de los dientes permanentes. Es fundamental entender cómo cuidar de estas raíces para asegurar una salud dental óptima en la infancia.
Los dientes de leche presentan una estructura que es más delicada y ligera en comparación con los dientes permanentes. Esta anatomía está diseñada para cumplir funciones específicas durante los primeros años de vida del niño, facilitando tanto la masticación como el habla. Los dientes de leche suelen ser más pequeños y tienen una forma diferente, pero comparten características que los vinculan estrechamente con los dientes definitivos.
Cada diente de leche está constituido por dos partes principales: la corona y la raíz. La corona es la parte visible que asoma a través de las encías, mientras que la raíz se encuentra oculta en el hueso maxilar. Las raíces son esenciales para proporcionar estabilidad y soporte, permitiendo que los dientes de leche se mantengan firmes en su lugar.
Es importante destacar que, aunque estos dientes son temporales, su salud y estructura son fundamentales para el correcto desarrollo de la dentición definitiva. La formación de las raíces durante la infancia es crítica, ya que éstas guían el crecimiento dental.
La raíz de un diente de leche cumple con un papel esencial en su funcionamiento. Estas estructuras son responsables de anclar el diente a la mandíbula, lo que asegura que desempeñe su función de masticación de forma eficaz. La estabilidad que proporcionan permite que los dientes ejerzan la presión necesaria para el crecimiento del maxilar en la infancia.
Las raíces en los dientes temporales presentan características únicas. Su diseño divergente es crucial, ya que permite que los dientes permanentes emerjan adecuadamente sin obstrucción. Proporcionan el «nicho» o espacio adecuado para que los dientes permanentes puedan ir ocupando su lugar.
La erupción de los dientes de leche es un proceso natural que comienza en los primeros meses de vida y continúa hasta aproximadamente los tres años. A medida que el niño crece, estos dientes comienzan a ceder su lugar. Este cambio suele comenzar alrededor de los seis años, cuando los dientes permanentes presionan las raíces de los temporales, «comiéndoselas» poco a poco (reabsorción).
La caída es un proceso gradual que normalmente se inicia con los incisivos centrales. Este fenómeno puede asustar a algunos niños al sentir movilidad, por lo que es esencial explicarles que es un paso de «hacerse mayores».
Cuidar las raíces de los dientes temporales es esencial para garantizar un desarrollo dental adecuado. Un cuidado inadecuado puede llevar a problemas de espacio, ya que las raíces actúan como «guardianes» del sitio para el diente adulto. Entre las consecuencias de no cuidar estas raíces se encuentran:
La pérdida prematura de un diente de leche, ya sea por caries o accidente, genera complicaciones. En estas situaciones, nuestro equipo de odontopediatría en Clínica Dental Clemente (Murcia) sugiere diversas estrategias para manejar el caso:
En términos de ortodoncia, es preciso considerar cómo la salud de las raíces influye. Si las raíces no han cumplido su función de manera efectiva (por haberse perdido antes de tiempo), es casi seguro que los dientes permanentes no se alinearán correctamente. Esto promueve la necesidad de un tratamiento ortodóntico (como brackets o alineadores transparentes) en la adolescencia. Mantener los dientes de leche sanos es el mejor tratamiento preventivo de ortodoncia que existe.
Es fundamental que los padres comprendan su papel activo en este proceso. Establecer una rutina diaria de higiene dental es crucial. Se recomienda cepillar los dientes del niño al menos dos veces al día con una pasta fluorada adecuada a su edad.
Si tienes dudas sobre el desarrollo de la boca de tu hijo o ha sufrido un golpe en un diente de leche, no esperes. ¡Contacta con Clínica Dental Clemente en Murcia y deja su sonrisa en las mejores manos!